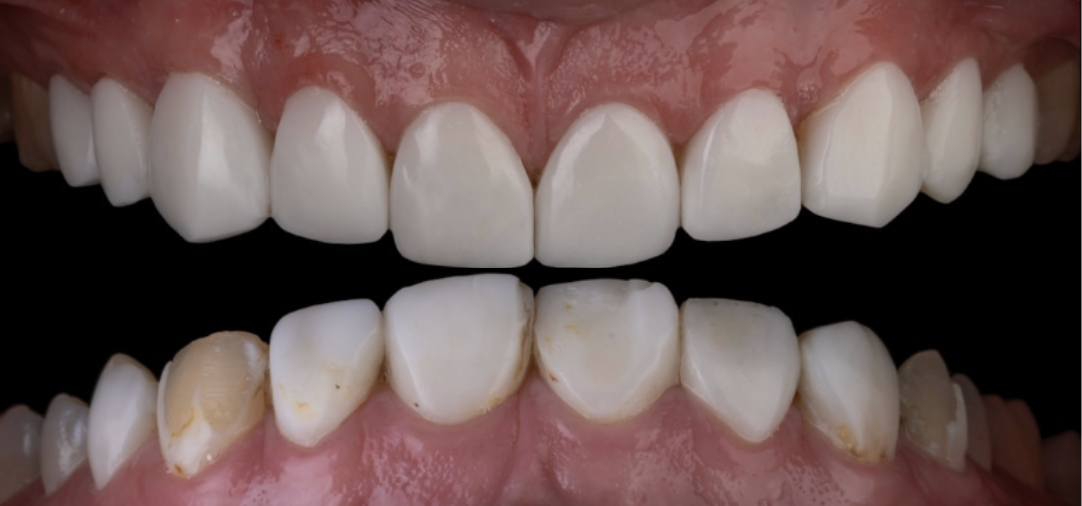
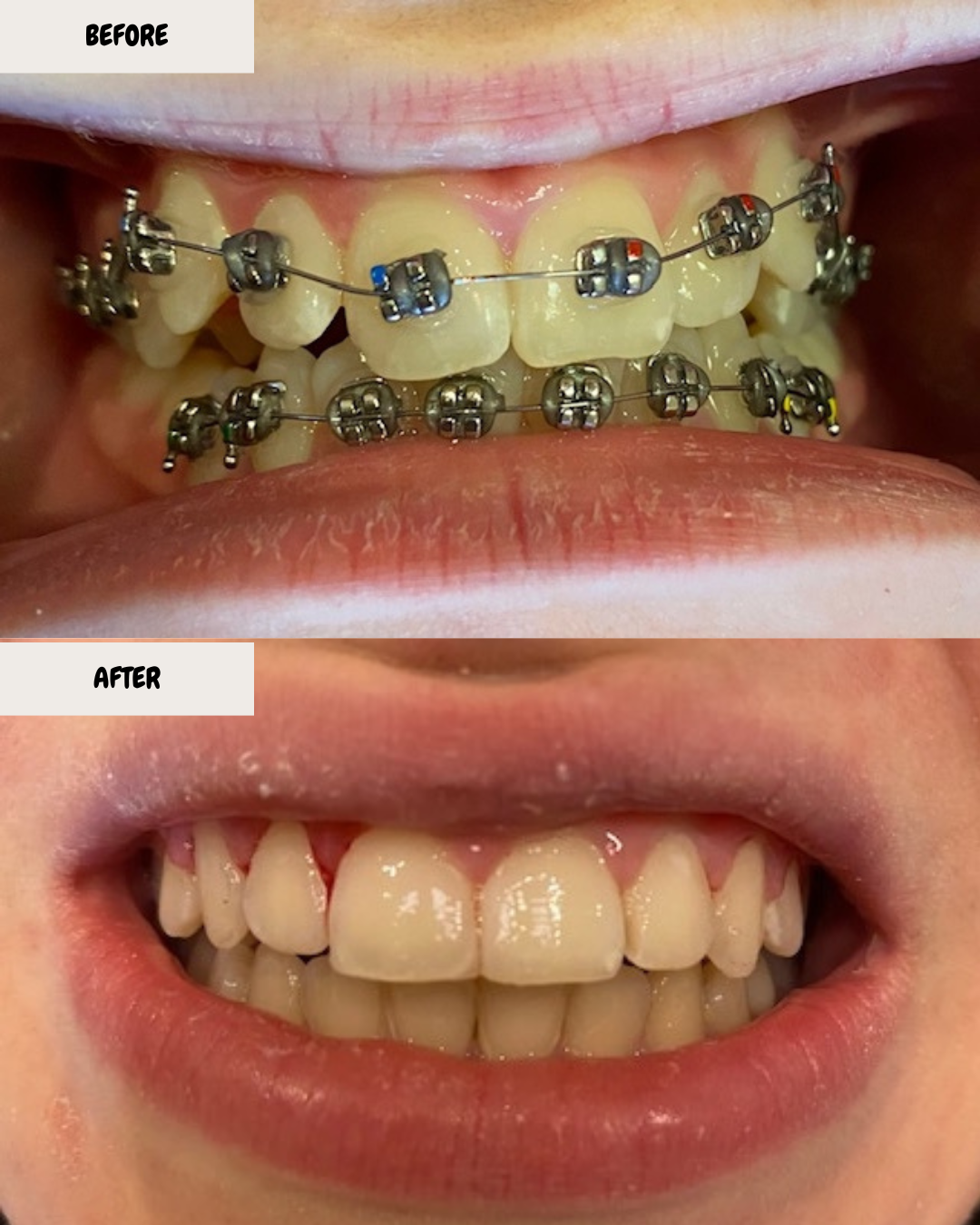
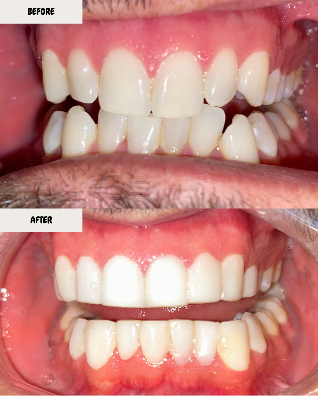
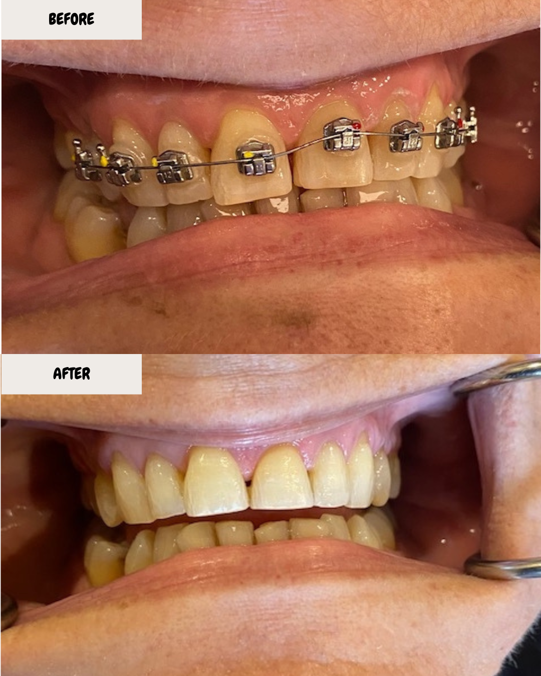
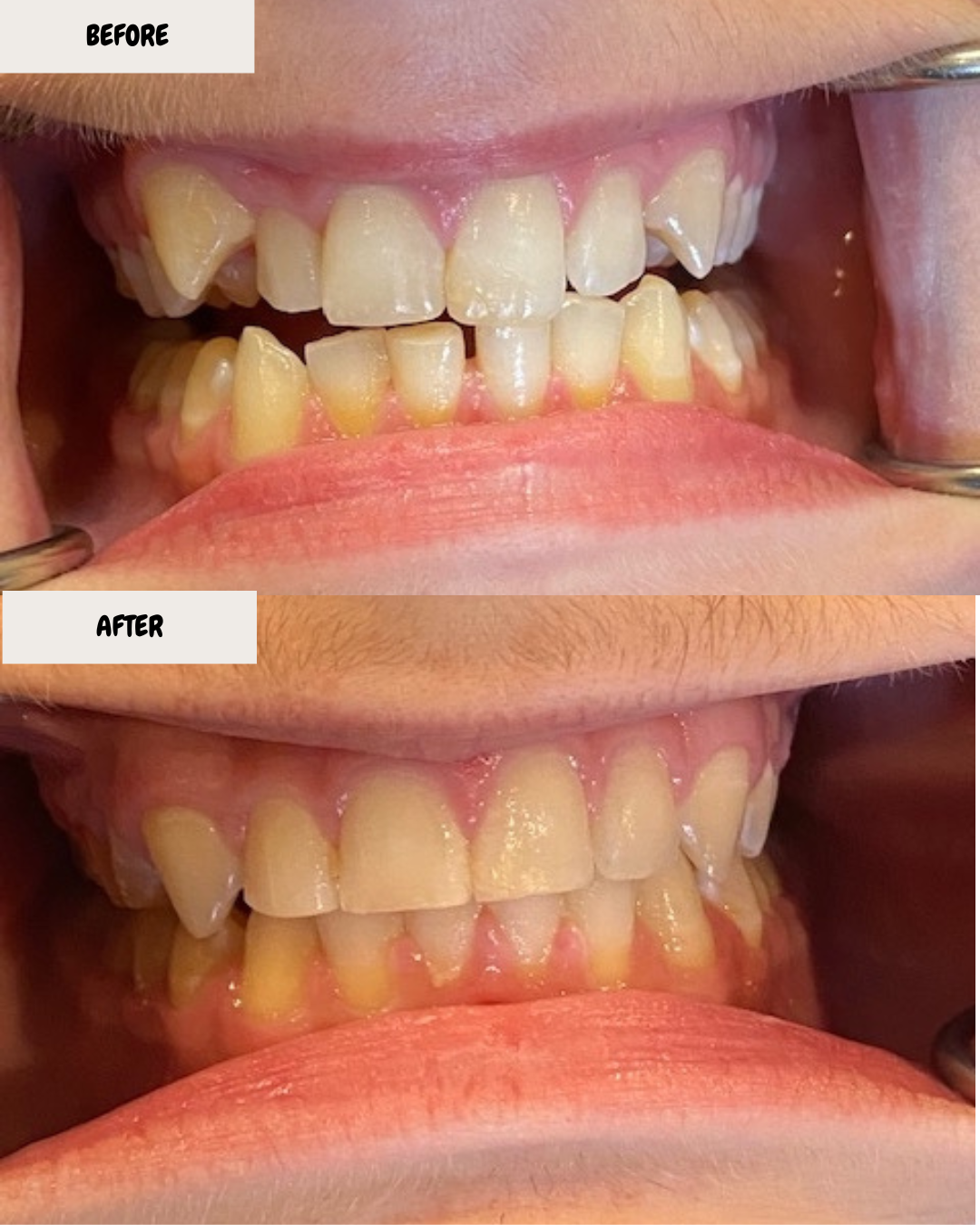
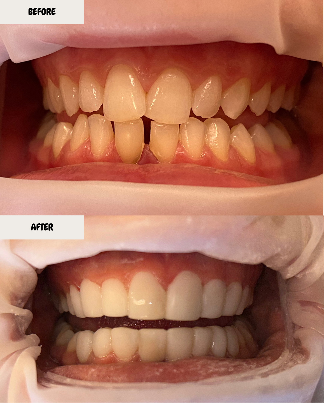
Before and After
All of our teeth are different, which makes us all unique!
This means that the results and outcomes of treatment are subject to differences and will have variations from person to person.
This means that the results and outcomes of treatment are subject to differences and will have variations from person to person.